The simple answer is a resounding…“maybe.” What, you thought it’d be easy?
Lets look at some common complaints:
“They hurt me”
They should probably be addressed.
“I can’t clean them”
Well that’s a problem, maybe they should go.
“I can see some of them, but they don’t hurt”
An evaluation is probably a good idea.
“They are picking up radio signals”
I have another doctor for you to see.
“I’m young, healthy, and I can’t see them in my mouth”
We should at least take a look.
The Lowdown:
“Wisdom teeth” aka “third molars” usually start erupting around the age of “wisdom” (late teens to early 20s)… Ya know, when you are very wise. Right? Parents, any input?
For a review of where the “wisdom teeth” are, see this post.
The force that pushes a tooth into the mouth is the formation of the root, which acts like a rocket to propel it, ideally, into the perfect position. The crazy thing is, the longer the roots get, the closer they get to important structures like the sinuses (near top wisdom teeth) and a nerve that gives the feeling to your lower lip and chin (bottom ones). If those roots get super close, touch, or “wrap around” those structures, there is increased risk of damage.
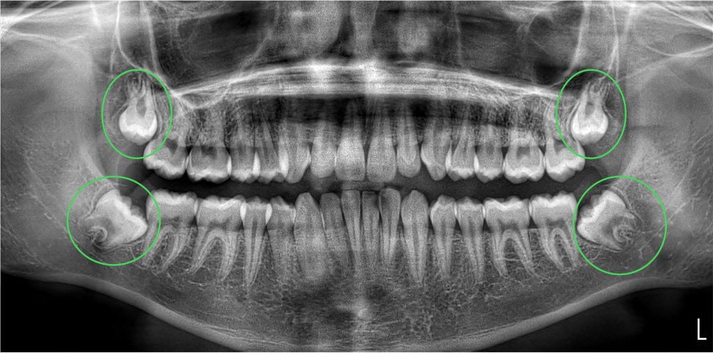
Nerves and sinuses, sounds bad.
Fortunately injuries to these things are rare, but when they happen, they can be a problem. Here’s what we see on basic x-rays:




So when is the ideal time to get wisdom teeth out?
For reasons mentioned above, its generally safer to remove these teeth before the roots are fully developed. This also coincides with a time in the life of a human where you tend to be healthiest and at lowest risk of complications.
Should all wisdom teeth be removed?
This is a very personal decision between you, your dentist, and your oral surgeon. Some people will have plenty of room for their wisdom teeth to be usable and cleansable chompers. Others could cause trouble down the line.
What are some problems that wisdom teeth can cause?
Pain and infection are the problems most people are worried about. Inability to fully clean them can cause decay (cavities) on the wisdom tooth or tooth next door. There is also evidence that they can contribute to crowding.
So how do I know if they are going to cause trouble?
I have yet to find a crystal ball that will help me predict the future. Please let me know if you have access to one.
Why get them out before they cause problems then?
The bottom line is that since we can’t predict whether and when they will cause problems, we like to evaluate them while they are still forming their roots. If it doesn’t look like there will be plenty of room, we know that it is generally safer to remove them in a young healthy person that heals fast!
The older you get, the higher the risks due to roots being closer to the above mentioned structures, slower overall body healing, and potentially more medical problems with age. We do remove wisdom teeth from all ages, depending on the circumstance. In most cases it is quite striking how the surgery is much simpler at a young age and the recovery period averages a few days to a week. Also, if they are removed before it is emergent or urgent, it can be scheduled at a time when off from school or work, and during off-seasons from sports. It is usually a vastly different recovery when someone (and their roots) are fully grown, heal slower, have more medical issues, working full time, and have to have the procedure urgently due to pain or other problems.
What if after I’ve been evaluated, I still don’t want them removed?
Then you’ve done your due diligence and have made an informed decision and we applaud that! One thing that your surgeon may mention is that there is a small chance of cysts developing around any impacted tooth that is left in place (see below), always a good idea to have your dentist monitor any impacted teeth over the course of your life to catch anything before it is a problem.

But (insert popular app/website/social media) says that wisdom teeth surgeries are unnecessary.
Again, I don’t have that crystal ball to see whether you will ever have a problem or not. But when they are urgent or emergent, and the patient is older, it can be rough! Please talk with an actual expert rather than the social media comment section.
And as a side note…maybe ask a professional before following any advice from those sites… (Pineapple juice)
Discover more from Mouthing Off
Subscribe to get the latest posts sent to your email.
